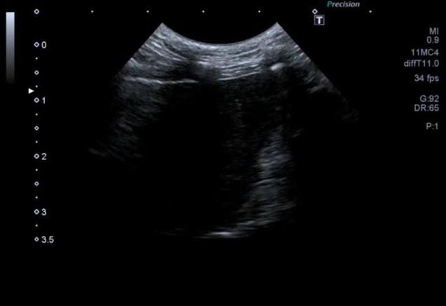
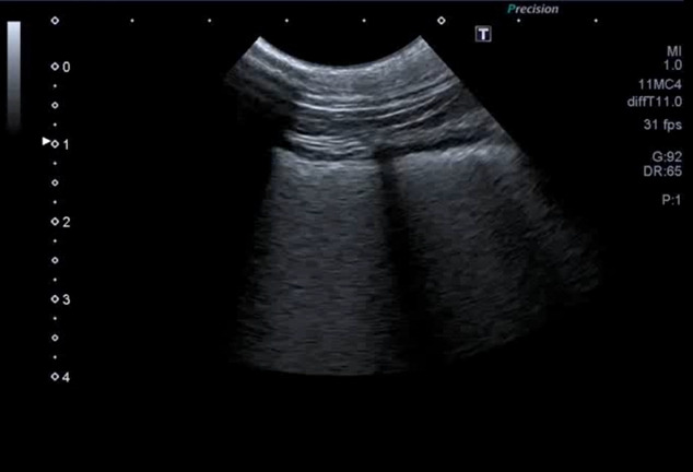
図3C 心原性肺水腫の猫における肺超音波画像
雑種猫、8歳5カ月齢、去勢雄、体重4.68kg。心疾患の管理中であったが、3日ほど投薬できておらず、かかりつけ医より紹介来院した。肺水腫によりB-lineの増加(white lung)が認められた。
特集 悩ましい猫の肺炎 vs. 肺水腫 vs. 肺腫瘍(塗木貴臣先生)図3Ⅽ
2022-06-28
- PR動画
Related content
関連コンテンツ
-

特集 悩ましい猫の肺炎 vs. 肺水腫 vs. 肺腫瘍(塗木貴臣先生)図11A
2022/06/28
-

特集 悩ましい猫の肺炎 vs. 肺水腫 vs. 肺腫瘍(塗木貴臣先生)図10Ⅽ
2022/06/28
-

特集 悩ましい猫の肺炎 vs. 肺水腫 vs. 肺腫瘍(塗木貴臣先生)図9Ⅽ
2022/06/28
-

特集 悩ましい猫の肺炎 vs. 肺水腫 vs. 肺腫瘍(塗木貴臣先生)図8Ⅽ
2022/06/28
-

特集 悩ましい猫の肺炎 vs. 肺水腫 vs. 肺腫瘍(塗木貴臣先生)図6B
2022/06/28
-

特集 悩ましい猫の肺炎 vs. 肺水腫 vs. 肺腫瘍(塗木貴臣先生)図6A
2022/06/28
-

特集 悩ましい猫の肺炎 vs. 肺水腫 vs. 肺腫瘍(塗木貴臣先生)図5Ⅽ
2022/06/28
-

特集 悩ましい猫の肺炎 vs. 肺水腫 vs. 肺腫瘍(塗木貴臣先生)図5B
2022/06/28
-

特集 悩ましい猫の肺炎 vs. 肺水腫 vs. 肺腫瘍(塗木貴臣先生)図1
2022/06/28
-

特集 悩ましい猫の肺炎 vs. 肺水腫 vs. 肺腫瘍(小川実月先生)図3
2022/06/28
-

特集 悩ましい猫の肺炎 vs. 肺水腫 vs. 肺腫瘍(小川実月先生)図2
2022/06/28
-

特集 悩ましい猫の肺炎 vs. 肺水腫 vs. 肺腫瘍(喜多川麻美先生、塗木貴臣先生)図2
2022/06/28
-

特集 悩ましい猫の肺炎 vs. 肺水腫 vs. 肺腫瘍(鈴木亮平先生)図3
2022/06/27
-

特集 悩ましい猫の肺炎 vs. 肺水腫 vs. 肺腫瘍(鈴木亮平先生)図2
2022/06/27
-

特集 悩ましい猫の肺炎 vs. 肺水腫 vs. 肺腫瘍(鈴木亮平先生)図1
2022/06/27